深海中的奇葩“怪物”生殖器竟然长在头上 它的名字让人毛骨悚然
大海是生命的起源,孕育了许许多多的生物,而这些神奇的生物还有很多没有被人类所知,生存在大海深处之中的神奇生物更是知道的少之又少。
去了解一种深海中超级奇葩的生物它的生殖器竟然长在头上,而这种深海的奇葩生物是一种鱼类叫做鬼鲨,一听到名字就毛骨悚然。

鬼鲨之所以被认为是奇葩的海洋生物
是它们长着凹陷呆滞乳白色的眼睛
翼状鱼鳍 以及鞭状长尾 非常适合黑暗

除了外形独特之外
它们的性特征也同样不可思议
科学家研究这种深海鱼类
发现它们具有特殊的生殖结构
例如:雄性鬼鲨的性器官,竟然是长在了头上,而且性器官还是自如的钩状。真是奇葩到处有,海底特别多。
而雌性鬼鲨的奇葩之处更是吓尿小编了,雌性鬼鲨就是一个行走的移动精子库。它的生殖器官是一个管状结构,在性交配之后,就把雄性的精子保存在里面,长达数年之久。
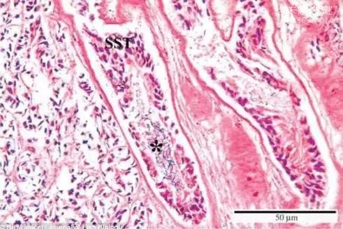
图为显微镜下的储存精子图片:

雄性鬼鲨前额的钩状性器官便于它们交配时与雌性鱼鳍固定在一起,同时,它们在盆骨周围还长有一组鳍足。鬼鲨交配过程对于雌性并不是一个非常愉悦的体验。
图片中是两种不同的鬼鲨:黑鬼鲨和灰鬼鲨:

鬼鲨被称为海洋幽灵,竟能用储存体内射出精子数年?
鬼鲨被认为是非常奇怪的海洋生物,它们长着凹陷呆滞的眼睛,翼状鱼鳍,以及鞭状长尾,除了外形独特之外,它们的性特征也同样不可思议。
科学家研究这种深海鱼类,发现它们具有特殊的生殖结构,例如:雄性头部长着伸缩自如的钩状性器官,雌性拥有一个管状结构,性交配之后仍能长时间存储精子,甚至可保存数年时间.....【查看详细】
